Cirebon - Pemerintah Kota Cirebon kembali menegaskan komitmennya dalam mengatasi persoalan masyarakat melalui kerja bersama yang konsisten dan terarah. Upaya tersebut kembali terlihat saat Wakil Wali Kota Cirebon, Siti Farida Rosmawati yang...
Sosialisasi dan Koordinasi Penanganan Kasus Kejadian Ikutan Pasca Imunisasi (KIPI)
Cirebon - Pemerintah Kota Cirebon terus memperkuat kesiapsiagaan menghadapi potensi meningkatnya curah hujan. Untuk itu, Wali Kota Cirebon, Effendi Edo memimpin langsung kegiatan monitoring kawasan rawan banjir bersama unsur Forkopimda dan...
Cirebon - Pemerintah Kota Cirebon menegaskan komitmennya untuk menjaga stabilitas ekonomi dan daya beli masyarakat melalui High Level Meeting (HLM) Tim Pengendalian Inflasi Daerah (TPID) yang dirangkaikan dengan rapat koordinasi nasional be...
Kelurahan Pekalipan Laksanakan Muskel Verifikasi dan Validasi Data Penerima Bantuan Sosial
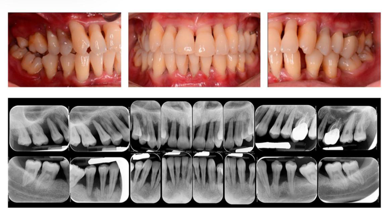
Penyakit periodontal merupakan kondisi peradangan kronis mengenai jaringan pendukung gigi yang meliputi gingiva, ligamentum periodontal, sementum, dan tulang alveolar.
Cirebon - Pelaku Usaha Mikro, Kecil, dan Menengah (UMKM) di Kota Cirebon kembali mendapatkan dukungan konkret dari pemerintah kota melalui pembukaan Pelatihan UMKM Go Global dan Go Modern serta Pelatihan Digital Marketing untuk Go Online da...
dang Koperasi dan UKM DKUKMPP Kota Cirebon menyelenggarakan kegiatan Pelatihan UMKM Go Global dan Go Modern pada Senin, 1 Desember 2025, bertempat di Aula 1 DKUKMPP Kota Cirebon.